Gudang Informasi

What Does Breast Cancer Look Like On Mammogram Images / Focal Asymmetric Densities Seen At Mammography Us And Pathologic Correlation Radiographics : A screening mammogram is performed at regular intervals to check for breast cancer in women who have no signs or symptoms of the disease.

What Does Breast Cancer Look Like On Mammogram Images / Focal Asymmetric Densities Seen At Mammography Us And Pathologic Correlation Radiographics : A screening mammogram is performed at regular intervals to check for breast cancer in women who have no signs or symptoms of the disease.
What Does Breast Cancer Look Like On Mammogram Images / Focal Asymmetric Densities Seen At Mammography Us And Pathologic Correlation Radiographics : A screening mammogram is performed at regular intervals to check for breast cancer in women who have no signs or symptoms of the disease.

What Does Breast Cancer Look Like On Mammogram Images / Focal Asymmetric Densities Seen At Mammography Us And Pathologic Correlation Radiographics : A screening mammogram is performed at regular intervals to check for breast cancer in women who have no signs or symptoms of the disease.. What does breast cancer look like on a mammogram? The feel of a breast lump depends on its cause, location, and growth. Not all women have calcifications in their breasts—but most do. These deposits show up as tiny white spots on a mammogram, and there may be only one or two, or too many to count, says jay baker, md, a breast imaging specialist at the duke cancer center.most people assume that what doctors are looking for on a mammogram are lumps, dr. The calcifications associated with breast cancer are usually quite small, often described as microcalcifications.

To determine whether that lump is benign, your doctor will likely order a mammogram and breast ultrasound. Breast mri images are combined, using a computer, to create detailed pictures. People should become familiar with the typical look and feel of their. Not all women have calcifications in their breasts—but most do. Generally speaking, the denser the tissue, the whiter it appears.

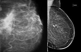
Breast Cancer Diagnosis Mammogram Results
Breast Cancer Diagnosis Mammogram Results from hips.hearstapps.com
Look at your old studies, if available. Any area that does not look like normal tissue is a possible cause for concern. However, a mammogram is not perfect and it is difficult to detect abnormalities in a person with dense breasts. We'll show you breast cancer pictures to help you identify any physical traits of the condition. Screening mammograms have been used since the 1980s. Not all women have calcifications in their breasts—but most do. The 3d mammogram images can be analyzed as a whole or examined in small fractions for greater detail. A diagnostic mammogram is used to check for breast cancer when there is a sign or symptom of disease.

However, it is not a good idea to have an ultrasound instead of a mammogram and it is probably best to follow the advice of the screening physicians.

Calcifications usually can't be felt, but they appear on a mammogram. If microcalcifications are found on your mammogram, the radiologist will do the following to help determine what if anything needs to be done: It's common to have dense breasts. Palpation of benign breast masses. Generally, whiter mammogram images indicate denser breasts. According to the american cancer society (acs), the most common sign of breast cancer is a new lump or mass in the breast. Specialist doctors (radiologists) trained to interpret mammograms can identify any abnormal areas, masses or calcium. Look at your old studies, if available. Breast mri images are combined, using a computer, to create detailed pictures. To determine whether that lump is benign, your doctor will likely order a mammogram and breast ultrasound. What does breast cancer look like on a mammogram? We'll show you breast cancer pictures to help you identify any physical traits of the condition. The skin of the breast might also appear puckered, like the skin of an orange.

So, an ultrasound is typically a 'second look' type of application. Not all women have calcifications in their breasts—but most do. The 3d mammogram images can be analyzed as a whole or examined in small fractions for greater detail. The doctor reading your mammogram will be looking for different types of breast changes, such as small white spots called calcifications, larger abnormal areas called masses, and other suspicious areas that could be signs of cancer. Look at your old studies, if available.

Breast Cancer Screening Wikiwand
Breast Cancer Screening Wikiwand from upload.wikimedia.org
Any area that does not look like normal tissue is a possible cause for concern. For breast cancer screening purposes, the machine also creates standard 2d mammogram images. A doctor who specializes in interpreting imaging tests (radiologist) examines the images to look for abnormalities that may be breast cancer. The skin of the breast might also appear puckered, like the skin of an orange. You may have an imaging test, like a mammogram or ultrasound, for an inside look. Mammograms may show suspicious areas of the breast, white spots, and microcalcifications. There are few risks associated with mammography. Palpation of benign breast masses.

For breast cancer screening purposes, the machine also creates standard 2d mammogram images.

Generally speaking, the denser the tissue, the whiter it appears. These deposits show up as tiny white spots on a mammogram, and there may be only one or two, or too many to count, says jay baker, md, a breast imaging specialist at the duke cancer center.most people assume that what doctors are looking for on a mammogram are lumps, dr. Not all women have calcifications in their breasts—but most do. A mammogram image has a black background and shows the breast in variations of gray and white. Rate of dcis discovery is increasing, due to screening mammograms. If microcalcifications are found on your mammogram, the radiologist will do the following to help determine what if anything needs to be done: What does breast cancer look like? If you have calcifications, they'll show up as white spots. Generally, whiter mammogram images indicate denser breasts. This can make it harder for your radiologist to spot signs of breast cancer, since dense tissue and tumors both look white in mammogram images. However, a mammogram is not perfect and it is difficult to detect abnormalities in a person with dense breasts. People should become familiar with the typical look and feel of their. It's common to have dense breasts.

The person having the mammogram will place their breast between … However, cancer can also be seen as white, making it a bit obscure in women with extremely dense breasts. They can vary greatly from painful, hard, and immobile to soft, painless, and easily moveable. Specialist doctors (radiologists) trained to interpret mammograms can identify any abnormal areas, masses or calcium. So, an ultrasound is typically a 'second look' type of application.

Breast Density And Mammogram Reports Dense Breast Tissue
Breast Density And Mammogram Reports Dense Breast Tissue from www.cancer.org
Screening mammograms have been used since the 1980s. It can be hard to know from a mammogram image whether the cluster is dcis or invasive breast cancer. A mammogram image has a black background and shows the breast in variations of gray and white. A mammogram can show breast changes such as calcifications, masses, or other symptoms that might be cancer.abnormalities such as cancerous tumors usually appear brighter because they are denser. This appears most commonly as streaking, known as linear enhancement. What does breast cancer look like on a mammogram? A breast mri captures multiple images of your breast. What does breast cancer look like on a mammogram?

(a cluster of microcalcifications can also be a benign finding on a mammogram.

Mammograms are the best technique available to detect breast cancer or monitor the response of breast cancer to treatment. According to the american cancer society (acs), the most common sign of breast cancer is a new lump or mass in the breast. Finding breast lumps and seeing change in the size and shape. Rate of dcis discovery is increasing, due to screening mammograms. They're often easy to move around (mobile) and may be tender. There are two techniques for creating a mammogram. Calcifications are tiny flecks of calcium — like grains of salt — in the soft tissue of the breast that can sometimes indicate the presence of an early breast cancer. They can vary greatly from painful, hard, and immobile to soft, painless, and easily moveable. They're common on mammograms, particularly if you're postmenopausal. Breast cancer and some noncancerous (benign) breast conditions can appear white on a mammogram. Additionally, how does lump in the breast look like? Magnetic resonance imaging (mri) of the breast — or breast mri — is a test used to detect breast cancer and other abnormalities in the breast. On a mammogram, dcis usually looks like a cluster of microcalcifications.

Advertisement